infection control
location
imaging
radiation
insurance
privacy
dds
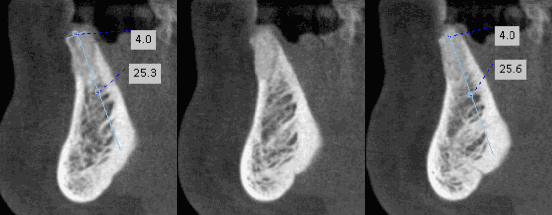
Grafted bone in lower incisor area
<
>