location
infection control
imaging
radiation
insurance
privacy
dds
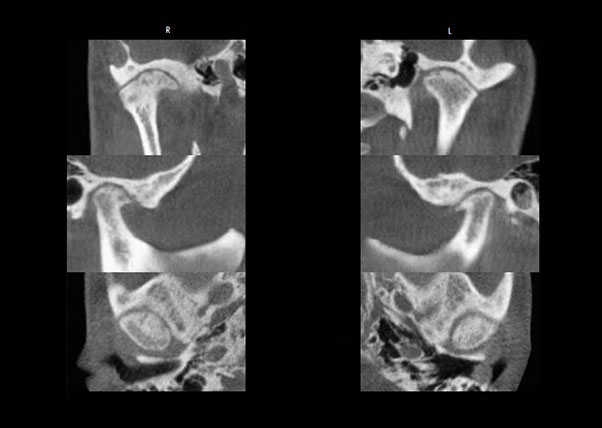
Normal temporomandibular joints
Osteoarthritis
<
>